Arsip Tag: hidrocephalus

“Normal Pressure Hydrocephalus”…hidrocephalus orangtua…

Mendengar kata hidrocephalus (suatu kelainan akibat gagalnya cairan otak dibuang dari dalam kepala sehingga mengakibatkan tekanan di dalam kepala bertambah tinggi) biasanya yang terbayang adalah anak-anak kecil atau bayi dengan ukuran kepala yang besar serta keterbelakangan akibat gagal tumbuh dan kembang. Gambaran seperti ini memang sering kita lihat di media elektronik maupun cetak dan kadang membuat kita merasa takut atau sedih. Namun ternyata hidrocephalus tidak hany diderita oleh anak kecil atau bayi-bayi saja. Di usia manapun, hidrocephalus dapat muncul akibat beberapa penyebab.

Salah satunya adalah hidrocephalus yang sering ditemukan pada orang lanjut usia (usia 55 tahun ke atas). Penyakit tersebut disebut dengan “Normal Pressure Hydrocephalus” atau NPH, yaitu suatu jenis hidrocephalus dengan tekanan yang relatif normal. Maksudnya disini adalah bahwa tekanan yag disebabkan oleh penyakit ini fluktuatif dimana kadang normal, kadang juga tinggi. Karena ketidakstabilan ini maka gejala yang ditimbulkan juga tidak seperti hidrocephalus yang biasa (penurunan kesadaran, muntah, pembesaran ukuran kepala dan lain-lain).

Gejala yang paling sering dan umumnya ditemukan pada orang lanjut usia dengan NPH adalah tercakup dalam trias gejala “amnesia, ataksia dan inkontinensia”. Amnesia adalah gejala berupa sering lupa/pelupa, hal ini tercermin dari ketidakmampuan untuk mengingat nama orang-orang terdekat, tempat dan waktu. Ataksia adalah ketidakmampuan untuk menjaga postur dan keseimbangan badan sehingga cenderung untuk jatuh saat berdiri atau berjalan. Inkontinensia adalah ketidakmampuan untuk menahan berkemih alias suka ngompol.Ketiga gejala ini timbul akibat penekanan pada pusat-pusat kontrol di otak oleh hidrocephalus tersebut.

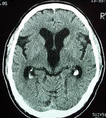
Untuk mendiagnosis kemungkinan seseorang menderita NPH, maka beberapa pemeriksaan dapat dilakukan seperti pemeriksaan CT Scan kepala atau pemasangan monitor tekanan intrakranial untuk mengevaluasi fkutuasi dari tekanan di dalam kepala.

Normal Pressure Hydrocephalus

Terapi yang diberikan umumnya adalah tindakan untuk menurunkan tekanan di dalam kepala dengan memasang selang drainase dari dalam kepala ke perut (Ventriculoperitoneal Shunt; VP Shunt). Biasanya setelah pemasangan selang VP Shunt, maka ketiga gejala diatas akan berkurang.

Oleh karena itu, jika anda atau orangtua anda memiliki trias gejala di atas, cobalah diperiksakan ke dokter ahli bedah saraf/saraf untuk memastikan ada tidaknya NPH. Pikun dan pelupa serta gangguan gerak lebih banyak trjadi pada orang usia lanjut namun jangan pernah menutup mata adanya penyakit “Normal Pressure Hydrocephalus” ini.

NPH mengancam orang usia lanjut

Jahatnya infeksi otak pada anak…

Salah satu hal yang paling ditakuti oleh seorang dokter bedah saraf seperti saya adalah infeksi khususnya infeksi pada susunan saraf pusat (otak dan tulang belakang). Berbeda dengan infeksi-infeksi lainnya di dalam tubuh kita, infeksi susunan saraf pusat merupakan salah satu jenis infeksi terberat dan sulit diobati. Penyakit-penyakit infeksi lainnya di dalam tubuh mungkin dapat diobati dengan antibiotik, tetapi infeksi otak mungkin membutuhkan antibiotik lebih kuat dan pengobatan lainnya. Ditambah, kondisi anak dengan infeksi otak biasanya tidak bagus dan dengan sistem imunitas tubuh yang sudah terganggu.

Saya ingin bercerita tentang seorang anak yang saya rawat. Anak ini tidak akan pernah bisa terlupakan dari ingatan saya, merupakan salah seorang anak yang menjadi “guru” saya selama saya pendidikan bedah saraf. Anak kecil dengan paras sangat lucu berusia sekitar 1 tahun. Yang tak terlupakan adalah kebiasaan anak ini yang suka merenggangkan badannya seperti mengedan. Tidak biasa tapi untuk anak dengan bobot yang sedikit gemuk menimbulkan rasa gemas dan lucu. Saya ingat ketika orangtuanya membawanya pertama kali ke rumah sakit. Saya melihat orangtuanya masih sangat muda tapi dengan wajah yang tenang walau sedikit khawatir. Saya melihat ukuran kepala anak itu memang lebih besar dari normal, muncul di benak saya bahwa anak ini menderita “Hidrocephalus”, suatu penyakit akibat penumpukan cairan otak di dalam kepala sehingga tekanan di dalam kepala meningkat dan mengakibatkan ukuran kepala bertambah besar.

Pendapat saya dikonfirmasi dengan gambaran pemeriksaan CT Scan kepala yang menunjukkan “Hydranencephaly”, suatu penyakit seperti hydrocephalus tetapi lebih berat karena penumpukan cairan otak lebih banyak dan jaringan otak hampir tidak tumbuh sama sekali. Saya kemudian menjelaskan kepada orangtuanya dan meminta mereka untuk bersabar. Setelah dijelaskan, orangtua tetap menginginkan dilakukan operasi walau dengan berbagai resiko yang ada.

Operasi pun dilakukan dengan pemasangan selang untuk mengalirkan cairan otak yang tertumpuk. Setelah operasi, kondisinya sedikit lebih baik dan setelah beberapa hari anak itu pulang.

Namun, 1 bulan kemudian, orangtua membawa kembali anaknya ke rumah sakit. Kondisinya lemah, dengan suhu badan yang tinggi. Terdapat pula riwayat kejang. Dilakukan pemeriksaan lengkap dan disimpulkan bahwa anak tersebut mengalami infeksi otak. Selang yang sudah kita pasang terpaksa dikeluarkan karena dapat memperberat infeksi. Anak tersebut kemudian dirawat dan diberikan antibiotik kuat oleh dokter anak. Setelah dirawat 2 minggu, anak tersebut sedikit mengalami perbaikan dan kemudian diijinkan pulang. Di rumah tidak lama, 5 hari kemudian anak itu kembali masuk rumah sakit dengan kondisi yang sama dan dirawat kembali untuk infeksi otaknya. Hal ini berlangsung terus menerus hingga saya tidak menerima kabar lagi dari orangtua.

Beberapa bulan kemudian, pada suatu pagi, saya mendapat telefon dari ibu anak tersebut. Kabar mengejutkan saya dapatkan kalau anaknya sudah tiada sejak semalam. Terjadi serangan kembali dan saat dibawa ke rumah sakit, sudah tidak bernyawa lagi. Ternyata anak lucu itu akhirnya sudah lelah dengan perjuangannya melawan penyakit berat itu. Anak kecil malang yang kuat itu akhirnya telah berpulang kepadaNYA dan mendapatkan tempat yang lebih baik. Saya sempat terdiam untuk beberapa saat. Sedih dan sedikit rasa bersalah bercampur di dalam hati dan pikiran. Seorang “guru” saya sudah pergi untuk selamanya. Selang beberapa hari, saya diundang untuk menyampaikan belasungkawa. Orangtuanya terus tersenyum dan mengucapkan terima kasih kepada saya.

Infeksi otak adalah penyakit yang berat khususnya pada anak, salah satu yang paling ditakuti oleh seorang ahli bedah saraf. Usahakan hidup dalam tingkat kebersihan yang baik dan berikan gizi yang cukup pada anak-anak kita.