Saya menerima banyak sekali konsultasi melalui blog saya ini atau melalui email saya yang menanyakan tentang suatu penyakit unik yang disebut dengan “Dandy Walker Syndrome”. Penyakit ini ditemukan oleh “Walter Dandy” dan “Arthur Earl Walker” sehingga disebut dengan “Dandy Walker Syndrome”. Penyakit ini menjadi kekhawatiran para orangtua dikarenakan anak-anak mereka didiagnosis dengan kelainan ini, dikatakan berat dan tidak dapat diobati. Dokter-dokter mereka mengatakan bahwa penyakit ini terjadi pada anak-anak dan berbeda dengan hidrosefalus serta berakibat lebih buruk daripada hidrosefalus saja.
Harus saya akui bahwa pendapat itu benar. Saya akan mencoba menjelaskan dalam bahasa yang mudah-mudahan para pembaca blog saya dapat mengerti tentang penyakit ini.
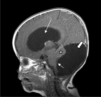
Dandy Walker Syndrome merupakan suatu sindrom (kumpulan gejala) yang terjadi pada seorang anak akibat tidak terbentuknya “pintu keluar” cairan otak dari dalam kepala. Dalam bahasa medis, pintu keluar ini disebut dengan suatu lubang khusus yaitu yang dinamakan dengan “Foramen Luschka dan Magendie”. Dalam teorinya, cairan otak manusia tersebut berada di dalam rongga cairan otak yang setiap hari diproduksi di dalam kepala dan setiap hari juga dibuang ke tubuh kita. Pada kondisi tertentu terjadi gangguan aliran cairan otak tersebut sehingga terjadilah penumpukan cairan otak yang disebut dengan “Hidrosefalus”. Hal ini akan berdampak terjadinya pembesaran rongga cairan otak yang akan menekan jaringan otak di sekitarnya. Pada Dandy Walker Syndrome, tidak terbentuknya pintu keluar ini yang mengakibatkan gangguan aliran cairan otak, pembesaran pada rongga cairan otak di sekitar otak kecil (ventrikel IV), disertai pula dengan terbentuknya kista besar di daerah otak kecil (serebelum), sehingga sebagian otak kecil (bagian tengah dari otak kecil) kemudian tidak tumbuh. Tidak tumbuhnya ini kemungkinan karena terhambat oleh kista berisi cairan otak yang menumpuk tersebut.

Penderita Dandy Walker Syndrome dapat disertai dengan hidrosefalus atau juga tidak. Dari beberapa rujukan menunjukkan angka sekitar 70-80% penderita Dandy Walker Syndrome juga disertai dengan hidrosefalus. Hidrosefalus ini disebabkan oleh gangguan aliran cairan otak seperti yang saya jelaskan diatas.

Lalu kenapa dikatakan bahwa penyakit “Dandy Walker Syndrome” ini lebih berat daripada hidrosefalus saja….??
Secara logis, selain adanya kerusakan akibat hidrosefalus, pada Dandy Walker Syndrome juga terdapat gangguan pada pembentukan otak kecil (serebelum). Otak kecil yang berfungsi sebagai pusat pengatur keseimbangan tubuh, pusat pengatur koordinasi tubuh dan pusat pengatur tonus otot di seluruh tubuh, akan terganggu fungsinya pada Dandy Walker Syndrome. Si anak penderita Dandy Walker Syndrome diprediksi akan sulit menjaga postur tubuh tegak maupun berjalan, kesulitan dalam mengkoordinasikan gerakan tangan dan kaki serta terdapat kelemahan pada sistem alat geraknya akibat tonus otot yang tidak adekuat.
Disayangkannya lagi adalah bahwa dalam penyakit “Dandy Walker Syndrome”, terdapat kata “Syndrome” di dalamnya. Sindrom disini artinya adalah kumpulan gejala-gejala (lebih dari satu atau dua gejala). Selain gangguan pada fungsi otak besar dan otak kecil, ternyata pada para anak penderita “Dandy Walker Syndrome” juga mengalami gangguan pembentukan dan pertumbuhan pada sistem organ lain di dalam tubuh. Data menunjukkan bahwa pada ‘Dandy Walker Syndrome” juga terdapat gangguan pada sistem jantung pembuluh darah, sistem paru dan pernafasan, sistem ginjal dan lain-lain. Kondisi ini menunjukkan bahwa telah terkadi kegagalan pembentukan sistem organ yang kompleks dan hampir menyeluruh.
Tindakan bedah saraf yang dilakukan untuk penderita Dandy Walker Syndrome adalah dengan pemasangan selang pintasan dari daerah otak kecil (tempat kista berada) ke perut, disebut juga dengan “Cystoperitoneal shunt”. Bila terdapat hidrosefalus, maka dipasang juga selang pintasan dari rongga cairan otak menuju rongga perut (Ventriculoperitoneal shunt; VP SHUNT). Pemeriksaan oleh bidang spesialistik lain sangat diperlukan untuk mencari kemungkinan gangguan pada sistem organ yang lain, dan terapi harus dilakukan bila memang terindikasi.
Kabar mengenai prognosis ke depan yang harus saya sampaikan pada orangtua anak penderita “Dandy Walker Syndrome” memang tidaklah sebaik pada hidrosefalus saja. Gangguan sistem organ yang begitu kompleks sering membuat sang anak tidak dapat bertahan hidup lama. Oleh karena itu, diagnosis “Dandy Walker Syndrome” ini harus ditegakkan secara jelas dan hati-hati. Upaya pertolongan harus tetap diberikan, sembari melihat dan berharap akan kekuatan misteri regenerasi otak dan organ lain pada seorang anak kecil. Kegagalan pembentukan otak kecil (serebelum) saja, belum tentu masuk katagori “Dandy Walker Syndrome”. Seluruh gejala-gejala lain harus ditelusuri dengan benar, untuk mendiagnosis dengan tepat penyakit ini.





















